Redesign Your Smile. Reinvent Your Confidence.
Dr Sami Dental Clinic in Kottakkal,Kerala provides advanced dental care, including Aligners, Implants, Smile Designing and all other Dental treatments
Welcome to Dr. Sami Dental Hospital
Trusted dental care with over 10 years of experience in Kottakkal, Kerala, offering a range of quality treatments including Aligners, Implants, and Zirconia crowns.


100K+
Trusted Patients
Quality Dental Services
Experience exceptional dental care with our trusted treatments for all your dental needs.


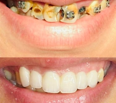
Our Gallery
Explore our quality dental treatments and successful patient transformations.




















SMILE MAKEOVER




My aligner treatment at Dr. Sami’s Dental Hospital, Kottakkal, was a wonderful experience—expert care, clear guidance, and outstanding results made the entire journey smooth and truly satisfying.”
Gadha Ayyappan
الدكتور تعامله راقي ومتعاون وسريع وأمين في عمله .
كل الشكر للدكتور على اتقانه لمهنة الأسنان.
★★★★★
★★★★★
Best dental service and treatment in Kottakkal.Thanks for your expert service doctor ♥️Suggested for everyone 🪭
Chitra M
I got a natural looking zirconia crown in Kottakkal from here.
It's perfect.
★★★★★
★★★★★
Rifaad VV
